Smile Gallery
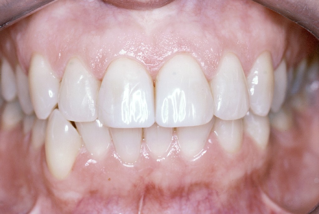
Stained and Pitted Teeth

Treatment Options

1. Caps
2. Porcelain Laminates
3. Direct Composite Laminates

Treatment Performed

Direct Composite Laminates

Benefits

Minimal tooth removal
Low costs compared to caps and porcelain laminates
Easy to repair

Health Fund Codes

582 x 4

Costs

A$1800 (A$450 x 4)
About the same as 1 cap

Larger Image
Larger Image
© 2005 Dentalk Seminars Pty. Ltd. ACN: 78-067-282-393