Smile Gallery
by

Who Am I?

Geoffrey M. Knight

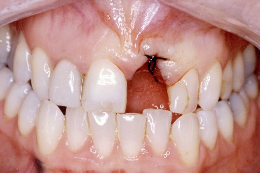
Front Tooth to be Extracted
Make Bigger
Treatment Options 1. Plastic Denture
2. Metal Denture
3. Implant
4. Bridge
5. Immediate Direct Resin Bridge
Treatment Performed Immediate Direct Resin Bridge
Benefits Gum does not shrink away
Low costs compared to implants and bridges
Easy to repair
Health Fund Codes 642, 597, 538, 311
Costs A$860 About the same as a metal denture
Make Bigger
For further information contact
geoffknight@dentalk.com.au
Image Size
Normal ~ Huge
 

For further information
Telephone (03) 9592-5055 ~ Facsimile (03) 9592-5866
20 Carpenter Street, Brighton, Victoria 3186 Australia

Home ~ Smile GalleryAbout Dentalk Seminars ~ Links

Copyright © 2001 Dentalk Seminars Pty. Ltd.
WARNING: All JPG image files have been digitally signed.
Page Last Modified Wednesday November 28, 2001 16:46
web.master@dentalk.com.au